
Новость месяца!!!
ОАО «9-я стоматологическая поликлиника» CRYSTAL DENT- всегда в авангарде инноваций. Наша клиника инвестирует средства в новые разработки медицинской техники, и мы надеемся, что благодаря объединению цифровых технологий с комплексными решениями по оптимизации лечебного процесса, сделав не только более комфортным и безопасным для пациентов процедуру конусно-лучевую компьютерную томографию, но экономически выгодной для пациентов!

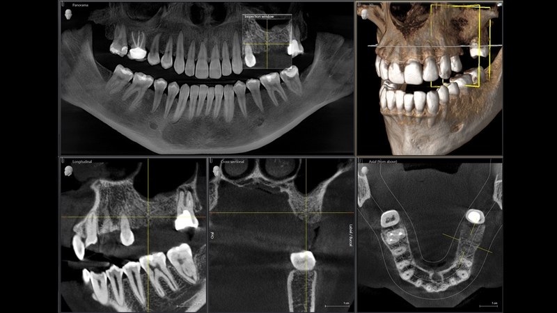
С каждым днем мы стараемся для вас и вашего здоровья - мы стремимся улучшить качество наших услуг! Поэтому спешим сообщить вам, что с 1 июля 2019 года в нашей поликлинике уже функционирует 3D - рентгенодиагностика нового поколения ORTHOPHOS SL 3D от Sironа (Германия). Это - самая новая система из успешного семейства 3D- рентгеновских аппаратов, превосходящая все остальные в функциональности ,качестве и дизайне.

В нашей стоматологии вы сможете сделать рентгенодиагностику, удовлетворяющую самым высоким запросам врачей-стоматологов и с высоким качеством панорамных изображений. 3D-режим позволяет получить объемную съемку зубочелюстной системы даже в сложнейших случаях, интерактивно фокусировать изображение на лингвальном или буккальном слое без дополнительного облучения.
Для проведения рентгенологического исследования требуется направление от врача. Направление можно скачать на нашем сайте: www.stomatolog9.by (услуги/рентгенодиагностика)
Коллеги!!!
Просим поддержать наш проект и воспользоваться данной услугой для ваших пациентов!
Стоимость услуги:
- Панорамная рентгенография на диске и фотобумаге - 16 руб.49 коп.
- Панорамная рентгенография с записью на диск - 14 руб. 80 коп.
- Трехмерная компьютерная томография челюстно-лицевой области с записью на диск - 25 руб. 81 коп.
Коллеги, приглашаем к сотрудничеству!
