Закрыть меню

Эстетическая реставрация зубов: композитные и керамические виниры

24.05.2024 в 11:23, Blizko.by

В поисках идеальной улыбки многие из нас сталкиваются с вопросом выбора метода эстетической реставрации зубов. Современная стоматология предлагает множество вариантов, среди которых особое место занимают композитные и керамические виниры. Эти технологии позволяют не только восстановить здоровый вид зубов, но и добиться идеальных эстетических результатов.

Композитные виниры

Композитные виниры изготавливаются из специального стоматологического композита, который наносится непосредственно на поверхность зуба. Этот метод позволяет быстро корректировать форму, размер и цвет зубов. Одним из преимуществ композитных виниров является их стоимость, которая значительно ниже, чем у керамических виниров. К тому же, процедура менее инвазивна, так как требует минимальной шлифовки или вовсе не требует удаления зубной эмали.
 
 

Керамические виниры

Керамические виниры представляют собой тонкие пластины, которые изготавливаются из высококачественной керамики и фиксируются на зубе с помощью специального цемента. Этот метод считается золотым стандартом в эстетической стоматологии благодаря своей долговечности и способности точно имитировать внешний вид натуральной зубной эмали. Керамические виниры не только выглядят естественно, но и устойчивы к пятнам, что делает их отличным долгосрочным решением.
 
 

Процесс установки керамических виниров

Процесс установки виниров начинается с консультации у стоматолога, который оценит состояние зубов и определит, какой вид виниров подойдет вам лучше всего. После этого производится подготовка зубов, которая может включать небольшую шлифовку поверхности зуба для лучшей адгезии винира. Затем берется оттиск, на основе которого и изготавливаются виниры в стоматологической лаборатории.

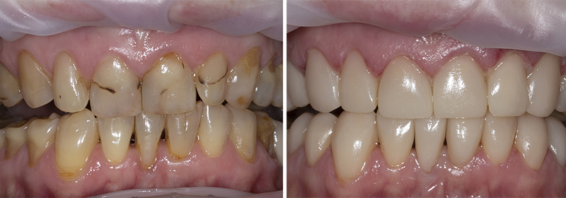
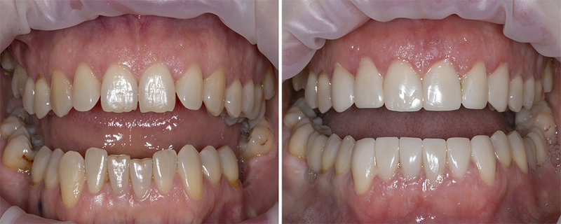
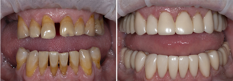
Наши работы

В стоматологии «Виодент» возможно установить оба типа виниров. Ниже представлены фотографии до и после процедуры установки виниров, которые наглядно демонстрируют качество работы и уровень мастерства врачей стоматологии.
 

Работа выполнена стоматологом-терапевтом Алейниковой Т.В.

 

Работа выполнена стоматологом-ортопедом Александровым П.С.

 

Работа выполнена стоматологом-ортопедом Губским Е.И

Заключение

Выбор между композитными и керамическими винирами зависит от многих факторов, включая индивидуальные особенности вашей улыбки, желаемый результат и бюджет. В стоматологии «Виодент» вы можете обратиться к врачу за консультацией, он подскажет подходящий вариант и поможет сделать правильный выбор.

 

Открыть полную версию